Резервні номери телефонів: 0 (96) 598 66 30
  • 20
  • Нам
  • Років
Пн - Сб  з 9.00 – до 21.00 Працюємо Пн - Сб
  • 0 800 33-08-12
  • Зателефонувати
Гаряча лінія

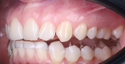
Сплінт-терапія

Біль у щелепі та в суглобі, клацання під час відкриття рота, напруження жувальних м’язів або скрегіт зубами — це симптоми, які можуть сигналізувати про порушення роботи скронево-нижньощелепного суглоба (СНЩС). Ігнорувати такі прояви не варто, адже з часом вони можуть призводити до стирання зубів, хронічного болю та дискомфорту під час жування.головнтх болей.

У Центрі Ізраїльської Стоматології (CIS) для вирішення таких проблем застосовується сплінт-терапія. Це сучасний метод лікування, що передбачає використання індивідуальної оклюзійної шини (сплінта), яка допомагає зняти надмірне навантаження, розслабити м’язи та стабілізувати роботу скронево-нижньощелепного суглоба.

0 %
Розстрочка під 0% від банку

Ми співпрацюємо з Моно Банком та Приватбанком та пропонуємо вигідні та зручні умови оформлення розстрочки на всі види стоматологічних послуг.

Зміст статті
  • Дата публікації: 25.02.2026
  • Дата останнього редагування: 25.02.2026
Увага!

Даний матеріал не замінює консультації лікаря і не може бути використаний для встановлення діагнозу або лікування

Ціна сплінт-терапії в Києві

  • Консультація

    огляд, збір анамнезу, заповнення медичної документації, опис рентгену, складання плану лікування

    500 грн
  • Комплексне діагностичне обстеження

    ОПГ (розгорнутий рентген знімок), фотолабораторія (повний фотопротокол ротової порожнини), зліпки щелеп, фіксація прикусу, лицьової дуги і діагностика відлитих або надрукованих на 3D принтері моделей, діагностика, консультація, а також складання плану лікування

    3 600 грн
  • Міорелаксаційна шина

    4 100 грн

Вартість сплінт-терапії для зубів у клініці ЦІС може варіюватися. На неї впливає складність клінічної картини, особливості та тип капи, а також безліч інших факторів. Точну ціну такого лікування можна дізнатися лише після консультації лікаря.

Що таке сплінт-терапія

Сплінт-терапія — це метод лікування порушень прикусу та дисфункцій скронево-нижньощелепного суглоба, який полягає у носінні спеціальних оклюзійних шин (сплінтів). Це знімні ортопедичні конструкції з міцних і водночас еластичних полімерних матеріалів. Їх виготовляють за індивідуальними зліпками або цифровими сканами зубів пацієнта, завдяки чому вони точно прилягають і надійно фіксуються на зубах. Під час моделювання використовується артикулятор. Це спеціальний прилад, що відтворює рухи щелеп і дозволяє максимально точно налаштувати конструкцію.

Сплінт може встановлюватися на одну або одразу на обидві щелепи. Під час носіння він змінює характер змикання зубів і положення нижньої щелепи. Це допомагає зменшити надмірне навантаження на суглоби та м’язи, зняти їх перенапруження і поступово відновити правильну роботу зубощелепної системи.

Показання та протипоказання

Основними показаннями для проведення шинотерапії в стоматології є:

  • дисфункція СНЩС, що супроводжується болем у ділянці суглоба, головними болями або болями в шиї;
  • бруксизм (скрегіт або сильне стискання зубів);
  • неправильний прикус і порушення змикання зубів;
  • обмеження або асиметрія рухів нижньої щелепи;
  • захворювання пародонту (пародонтит, пародонтоз), при яких важливо знизити жувальне навантаження на зуби.

Водночас варто зазначити, що сплінт-терапія підходить для усіх випадків.

До основних протипоказань належать:

  • гострі запальні процеси в ротовій порожнині або ділянці суглоба;
  • деякі вроджені аномалії розвитку щелеп і суглоба;
  • стани, що потребують першочергового хірургічного або ортодонтичного лікування за допомогою брекетів.

У клініці ЦІС остаточне рішення про доцільність проведення сплінт-терапії приймається виключно після обстеження пацієнта та оцінки клінічної ситуації.

Як проходить лікування

Сплінт-терапія в клініці ЦІС проводиться в декілька етапів.

1. Комплексна діагностика

Лікар проводить огляд, під час якого оцінює роботу СНЩС, характер змикання зубів і стан жувальних м’язів. За потреби призначається апаратна діагностика. Також збирається анамнез, щоб зрозуміти причини порушень і підібрати оптимальну тактику лікування. Після цього лікар може точно підрахувати, скільки коштуватиме сплінт-терапія при дисфункції СНЩС.

Автор Дария

2. 3D-планування

На основі зліпків або цифрового сканування створюється 3D-модель зубощелепної системи. Це дозволяє точно спроєктувати сплінт і визначити правильне положення щелепи.

3. Виготовлення сплінта

Індивідуальну шину виготовляють у лабораторії з гіпоалергенних матеріалів. Конструкція створюється з урахуванням анатомії пацієнта та завдань лікування.

4. Встановлення та адаптація

Лікар приміряє готовий сплінт і перевіряє коректність змикання зубів. За потреби виконується його точне підлаштування. Для досягнення лікувального ефекту сплінт потрібно носити більшу частину доби. Його можна знімати під час гігієни ротової порожнини та вживання дуже твердих або в’язких продуктів. Терміни лікування багато в чому залежать від клінічної картини та складності ситуації. Найчастіше терапія триває від 1 до 3 місяців, але у деяких випадках — до року.

Рекомендації з догляду

Правильний догляд за сплінтом важливий для гігієни ротової порожнини, довговічності конструкції та ефективності лікування. Саме тому пацієнтам варто дотримуватися наступних рекомендацій:

  • очищати сплінт двічі на день м’якою зубною щіткою з використанням пасти без абразивних частинок;
  • промивати шину водою після прийому їжі або напоїв;
  • зберігати капу у спеціальному контейнері, щоб уникнути її пошкодження та забруднення;
  • за можливості відмовитися від куріння, оскільки смоли негативно впливають на матеріал капи та гігієну ротової порожнини в цілому;
  • у разі деформації шини або дискомфорту під час носіння конструкції одразу звертатися до лікаря.

Також важливо регулярно відвідувати стоматолога для контролю стану сплінта та корекції лікування за потреби.

Переваги сплінт-терапії в ЦІС

Звертаючись до стоматології CIS для проведення сплінт-терапії, ви можете бути впевнені в результативності лікування, адже наша клініка має безліч переваг:

  • Лікування проводять досвідчені лікарі-ортодонти, які спеціалізуються на роботі з дисфункціями СНЩС.
  • Перед початком терапії виконується комплексна діагностика та цифрове планування.
  • Сплінт виготовляється індивідуально з урахуванням анатомії та особливостей прикусу пацієнта.
  • Лікар супроводжує пацієнта протягом усього лікування та проводить корекцію шини за потреби.
  • У клініці, окрім сплінт-терапії, доступний повний спектр стоматологічних послуг.
  • У нас найкращі ціни на сплінт-капи на зуби, до того ж вартість лікування завжди оголошується ще до його початку.

У Центрі Ізраїльської стоматології сплінт-терапія спрямована не лише на усунення симптомів, а й на відновлення роботи всієї зубощелепної системи.

FAQ

  • Чим відрізняється сплінт від звичайної капи?

    Основна відмінність полягає у призначенні конструкцій. Сплінт використовують для лікування дисфункцій скронево-нижньощелепного суглоба (СНЩС) і бруксизму. Він впливає на змикання зубів та положення щелепи. Звичайна капа найчастіше виконує захисну або ортодонтичну функцію. Вона оберігає зуби від пошкоджень або застосовується для їх вирівнювання.

  • Скільки часу потрібно носити сплінт?

    Тривалість лікування індивідуальна. У середньому сплінт-терапія триває від 1 до 3 місяців, а іноді й до року. Точний термін визначає лікар залежно від вираженості симптомів, а також реакції суглоба та м’язів на лікування.

  • Чи боляче проходити сплінт-терапію?

    Як правило, сплінт-терапія не супроводжується болісними відчуттями. На початковому етапі можливе підвищене слиновиділення та незначні зміни дикції, що пов’язано зі звиканням до шини. Зазвичай ці відчуття швидко минають у процесі адаптації.

  • Чи можна носити сплінт лише вночі?

    Носити сплінт потрібно строго за схемою, яку визначає лікар. Самостійно змінювати режим носіння або скорочувати час використання шини не варто, адже це може знизити ефективність лікування.

Схожі послуги

Кушнірук Світлана Михайлівна
Отримайте консультацію

Наші лікарі нададуть вам висококласну консультацію і дадуть відповідь на всі питання.

Зв'язатися з нами для консультації:
0 800 33-08-12 Зателефонувати

    * - поле є обов'язковим для заповнення
    Кушнірук Світлана Михайлівна

    Головний лікар ЦІС, стоматолог імплатолог вищої категорії, cтаж 23 роки